|
|
|
|
|
|
|
|
|
| magazine en ligne |
|
|
| Les usures |
|
|
Quel meilleur thème que les usures pour parler de dentisterie moderne, dentisterie adhésive, dentisterie minimalement invasive ? Les usures font partie des thèmes à la mode (oui je sais le RAC 0 aussi !). La société change, les habitudes alimentaires des patients, le vieillissement de la population font que nous nous trouvons confrontés de plus en plus à devoir traiter des dents usées, sans carie, sans problèmes endodontiques ou parodontaux. |
|
|
|
|
|
|
|
|
|
|
|
|
|
|
|
 |
|
| Partenariat stratégique entre Biotech Dental et la banque de Tissus TBF |
|
| Biotech Dental est fier d’annoncer son nouveau partenariat avec la banque de Tissus TBF, une Banque de Tissus spécialisée dans les allogreffes sécurisées issues uniquement de donneurs vivants. |
|
|
|
|
|
|
|
|
|
|
 |
|
| Les meilleures technologies de numérisation du secteur dentaire à un prix d’entrée de gamme |
|
| À Chicago, 3Shape a annoncé la sortie de TRIOS 3 Basic, la version d’entrée de gamme de son scanner intra-oral 3Shape TRIOS multiprimé. TRIOS 3 Basic utilise la même technologie de base que tous les autres modèles TRIOS. |
|
|
|
|
|
|
|
|
|
|
 |
|
| Lancement d’une organisation dédiée aux jeunes praticiens |
|
| Samedi 9 mars 2019 s’est tenue la première Assemblée Générale de U35 (Under 35). Cette structure créée par de jeunes chirurgiens-dentistes, au sein des CDF, est ouverte aux praticiens de moins de 35 ans. |
|
|
|
|
|
|
|
|
|
 |
|
|
|
 |
|
|
|
| Usure dentaire |
|
| 2 avril 2019 | PAR Dr. Camille LAULAN |
|
| L’objectif de la dentisterie restauratrice a évolué au fil du temps. Jusqu’à présent, la maladie carieuse était la principale préoccupation restauratrice, or, l’incidence de lésions érosives a significativement augmenté, cette augmentation étant due au vieillissement de la population, qui conserve ses dents jusqu’à un âge avancé, et à une consommation accrue d’aliments acides. |
|
|
|
|
|
|
|
|
|
|
| Usures dentaires : les étiologies ? |
|
| 2 avril 2019 | PAR Dr. Francisco Arroyo |
|
| Il existe plusieurs formes d’usure dentaire (chimique, fonctionnelle, parafonctionnelle…) et chacune d’entre elles présente un tableau clinique spécifique. Nous associons souvent usure et bruxisme, pourtant ce dernier ne concerne qu’un faible pourcentage de patients atteints d’usure alors que l’usure dentaire est très fréquemment visible dans la bouche de nos patients. |
|
|
|
|
|
|
|
|
|
|
| Concept de préparations et usures |
|
| 2 avril 2019 | PAR Dr. Marion ABGUILLERM et Charlotte RAGUENAU |
|
| Ces dernières années, l’évolution du collage a permis l’optimisation des traitements minimalement invasifs. Parfaitement adaptés aux attentes et aux besoins des patients présentant des usures, le collage permet la restauration d’une dent à la réhabilitation globale « full mouth ». |
|
|
|
|
|
|
|
|
|
|
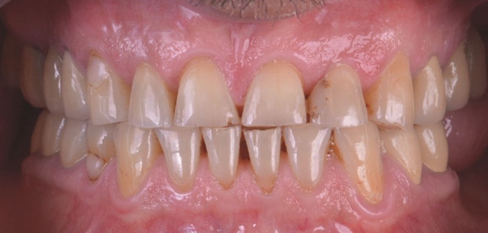
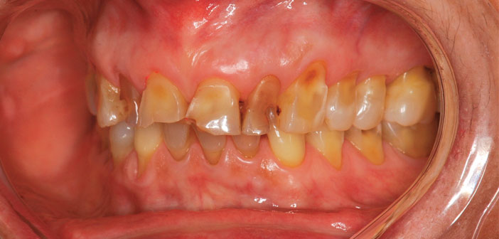
| Réhabilitation complète |
|
| 2 avril 2019 | PAR Dr. Cyril GAILLARD, Charlotte RAGUENAU, Dr. Francisco Arroyo, Dr. Marion ABGUILLERM et Dr. Camille LAULAN |
|
| Le patient âgé de 57 ans est demandeur d’une solution globale pour réhabiliter sa bouche. Pour élaborer le plan de traitement, nous suivons toujours le même chemin : discussion avec le patient pour connaître ses souhaits, désirs, limites en termes de traitement planification esthétique en utilisant l’outil Digital Smile Design (DSD) |
|
|
|
|
|
|
|
|
|
|
| Faites que vos patients disent « oui » |
|
| 2 avril 2019 | PAR Dr. Edmond BINHAS |
|
| Parfois, amener les patients à dire oui au traitement peut sembler une tâche impossible. Vous expliquez pourquoi ils ont besoin du traitement et faites de votre mieux pour répondre à leurs questions, mais ils quittent le cabinet sans prendre de rendez-vous – certains ne reviendront jamais… |
|
|
|
|
|
|
|
|
|
|
|
Vends QuickSleeper 5
Matériels dentaires, informatique, équipements - Vente | corse (20260) |
|
|
|
|
|
|
|
|
|
|
|
recherche remplaçant(e) Juillet+Août 2019
Offres d'emploi - Praticien, collaborateur, remplaçant | oloron sainte marie (64400) |
|
|
|
|
|
|
|
|
|
|
|
Vente cabinet dentaire
Cabinets dentaires / locaux professionnels - Offres : vente, location, association | TOURNON SUR RHONE (07300) |
|
|
|
|
|
|
|
|
|
| Copyright ©2026 LEFILDENTAIRE |
|
|
|
|
|
|
|
|
|
|