CHIRURGIE IMPLANTAIRE GUIDEE : PRINCIPES FONDAMENTAUX, FLUX DE TRAVAIL NUMERIQUE ET INTEGRATION CLINIQUE
BIBLIOGRAPHIE Hammerle CH, Jung RE, Feloutzis A. A systematic review of the survival of implants in bone sites augmented with…
FORMATION CONTINUE EN CHIRURGIE PARODONTALE : ÉTUDE AUPRÈS DES OMNIPRATICIENS DU SECTEUR PRIVÉ À CASABLANCA
Pr Mikou S, Dr Essadeq Z, Dr Boubdir S, Dr Belfellah Z, Pr Hamza M, Pr Kissa J Mots clés:…
CHIRURGIE IMPLANTAIRE GUIDEE : PRINCIPES FONDAMENTAUX, FLUX DE TRAVAIL NUMERIQUE ET INTEGRATION CLINIQUE
BIBLIOGRAPHIE Hammerle CH, Jung RE, Feloutzis A. A systematic review of the survival of implants in bone sites augmented with…
Technologie au cabinet : pourquoi 50 % des investissements échouent ?
Scanner dernier cri, intelligence artificielle, caméra intra-orale… Les cabinets dentaires investissent massivement dans la technologie. Pourtant, nombre de ces outils finissent…
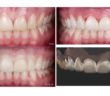
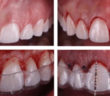
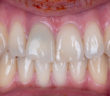
LE POINT DE CONTACT EN PROTHÈSE UN POINT CLÉ POUR L’ESTHÉTIQUE ET LA FONCTION
POINT DE CONTACT INTERPROXIMAL EN ZONE ESTHÉTIQUE POINT DE CONTACT INTERPROXIMAL ET ESTHÉTIQUE GINGIVALE EN SECTEUR ANTÉRIEUR L’esthétique gingivale en…
ET SI L A PHOTO DEVENAIT NOTRE MEILLEUR OUTIL CLINIQUE ?
INTRODUCTION : PHOTOGRAPHIER, UN ACTE CLINIQUE À PART ENTIÈRE La photographie a longtemps été perçue comme une activité annexe à…
Vidéos récentes
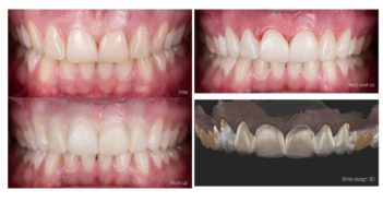
AORALSCAN ELITE : INTÉGRER LA PHOTOGRAMMÉTRIE AU FLUX IMPLANTAIRE DU CABINET
Le passage au “full-arch” digital pose toujours le même défi : sécuriser la précision implantaire tout en gardant un flux…
UN FUTUR DENTIFRICE À LA KÉRATINE POUR RÉPARER L’ÉMAIL ?
Des chercheurs du King’s College de Londres ont démontré que la kératine – protéine présente notamment dans les cheveux et…
CEREC GO LA RESTAURATION DANS LA SÉANCE, EN VERSION PLUS ACCESSIBLE
ELU PRODUIT DE L’ANNÉE DANS LA CATÉGORIE EQUIPEMENT Dentsply Sirona remporte le prix ADF Produit de l’Année 2026 (catégorie Équipement)…
Selon la nouvelle étude Les Echos Études – « Les enjeux de la prévention santé à l’ère de l’IA » :
68 % des entreprises veulent renforcer la prévention santé pour leurs salariés. Plus de la moitié en font un critère…
CEREC GO LA RESTAURATION DANS LA SÉANCE, EN VERSION PLUS ACCESSIBLE
ELU PRODUIT DE L’ANNÉE DANS LA CATÉGORIE EQUIPEMENT Dentsply Sirona remporte le prix ADF Produit de l’Année 2026 (catégorie Équipement)…
CARIES : 4 ACTES CONSERVATEURS SUR LA VOIE DU REMBOURSEMENT
Saisie par l’Assurance maladie, la HAS s’est prononcée en faveur de la prise en charge de quatre actes de traitement…
DENTISTERIE RESTAURATRICE BIOMIMÉTIQUE
Pascal MAGNE, Urs BELSER Traduction française : Dr Karine Agdern Parue en 2002, la première édition de cet ouvrage a…
AORALSCAN ELITE : INTÉGRER LA PHOTOGRAMMÉTRIE AU FLUX IMPLANTAIRE DU CABINET
Le passage au “full-arch” digital pose toujours le même défi : sécuriser la précision implantaire tout en gardant un flux…
SERAIT-IL BIENTÔT POSSIBLE DE FAIRE REPOUSSER LES DENTS ?
Peut-être, d’après une étude menée par des chercheurs japonais. Comme le rapporte The New York Post, un nouveau médicament pourrait faire…
LA POLYVALENCE D’UN SCANNER INTRA-ORAL DANS LA DENTISTERIE QUOTIDIENNE
LE SCANNER NUMÉRIQUE : LE COUTEAU SUISSE DES EMPREINTES EN DENTISTERIE QUOTIDIENNE Un scanner intra-oral est maintenant reconnu comme l’outil…



