INTRODUCTION
Une patiente de 28 ans, sans antécédents médicaux, se présente en consultation à la suite d’un traumatisme survenu quelques mois auparavant lors d’une chute en trottinette électrique. À la suite de cet accident, une couronne avait été posée par un confrère sur la dent 11 afin de restaurer la dent fracturée, tandis qu’une restauration composite avait été réalisée sur la dent 21.
Elle se présente alors en consultation parce qu’elle a entendu un « crack » en mangeant un aliment. Elle relate depuis des douleurs persistantes et une légère mobilité de la dent. L’examen clinique et radiologique révèle une fracture palatine au niveau du tiers cervical radiculaire qui est sous osseuse, rendant la dent non conservable.
OBJECTIFS
• Préserver le capital osseux et gingival en limitant les pertes liées à l’extraction
• Restaurer l’esthétique immédiatement
• Assurer une ostéointégration optimale en respectant les contraintes esthétiques
• Garantir un résultat esthétique prévisible
ANALYSE CLINIQUE
- EXAMEN CLINIQUE
La patiente, âgée de 28 ans, est en bonne santé générale, sans antécédent médical ni traitement en cours. Elle signale une consommation occasionnelle de tabac (environ 3 cigarettes par jour) sans facteur de risque majeur à court terme sur le plan parodontal ou osseux.
Une explication est alors immédiatement donnée à la patiente concernant les risques qui peuvent être encourus à cause de la consommation de tabac.
L’arrêt est alors programmé par la patiente pour permettre la réhabilitation souhaitée.
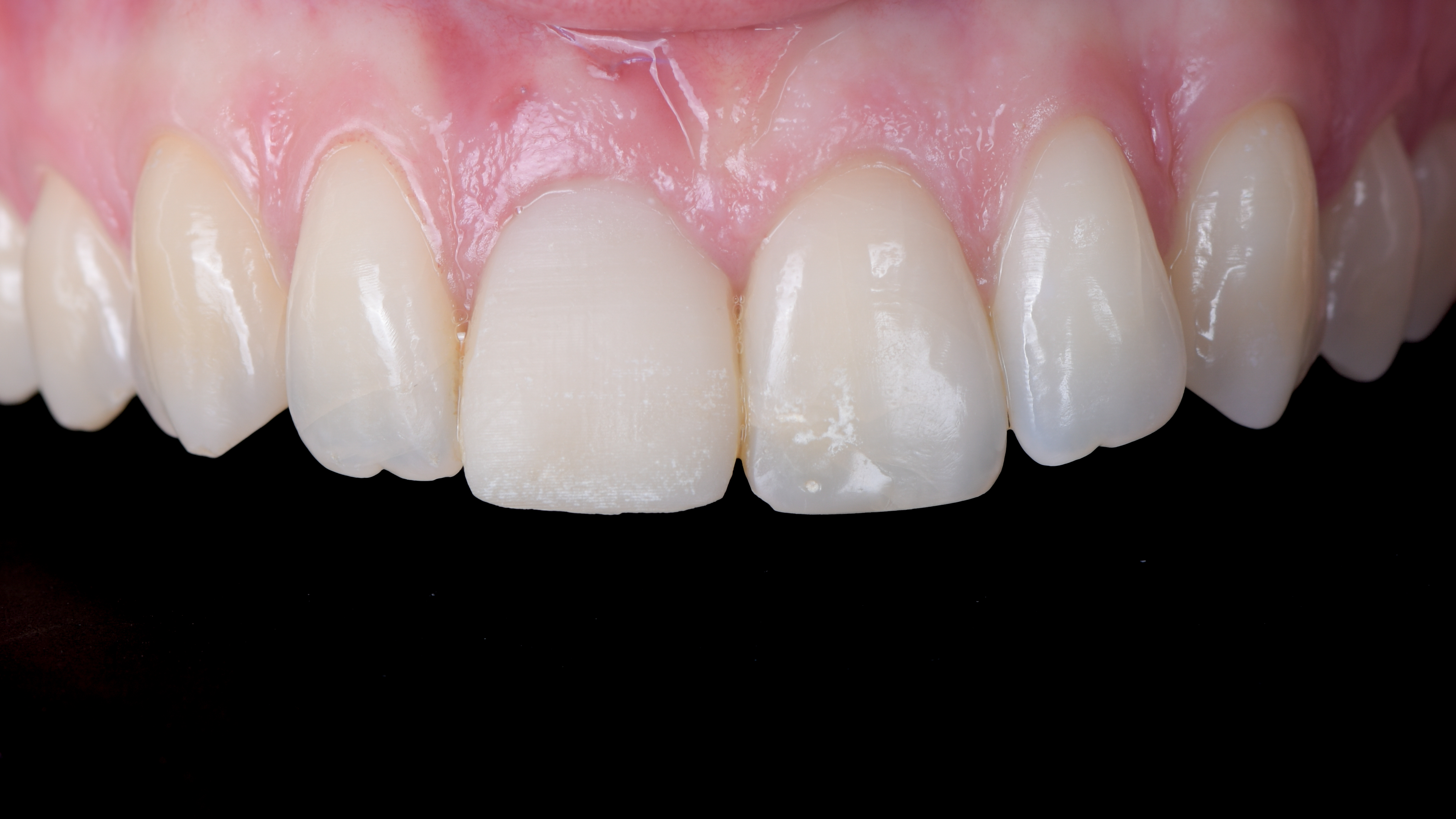
A l’examen clinique on s’aperçoit que la dent 11 est légèrement sur dimensionnée et présente une dyschromie (photo 1).
- ANALYSE RADIOLOGIQUE
• Panoramique (Photo 2)
• Bilan rétro alvéolaire (Photo 3)
• Bilan 3D ou Tomographie volumique à faisceau conique ou Cone Beam Computed Tomography (Photo 4)

Avec la radiographie panoramique, on s’aperçoit que la dent 11 présente un traitement endodontique,
un inlay core et une couronne.
La radiographie rétro alvéolaire, met bien en évidence la présence d’une lésion au niveau du tiers médian radiculaire de cette 11.
Au niveau de 21, une lésion apicale est présente et un test au froid négatif confirme la nécrose de la dent et la nécessité de la réalisation d’un traitement endodontique.
Sur le cone beam réalisé nous retrouvons bien notre lésion latérale au niveau de 11 et notre lésion apicale au niveau de 21. A noter également la fracture palatine du tiers cervical radiculaire.
On note la présence d’une paroi osseuse vestibulaire intacte permettant d’envisager une extraction
atraumatique suivie d’une implantation immédiate, dans de bonnes conditions.
- ANALYSE ESTHETIQUE
• La dent 11 présente des dimensions augmentées par rapport à la dent 21 mais reste dans les proportions idéales (Photo 5).
• Un Smile design est réalisé pour tenter de corriger l’aspect plus volumineux de la couronne au niveau de 11 grâce au logiciel SmileFy. Le souhait de la patiente est de ne toucher uniquement à cette dent 11 (Photo 6).
A la suite de cet examen approfondi, nous avons pu proposer à la patiente un plan de traitement
adéquat :
• Réalisation d’un traitement endodontique au niveau de 21 (Photo 7)
• Extraction implantation immédiate et mise en esthétique immédiate au niveau de 11
• Réalisation de la prothèse d’usage sur 11 et renouvellement du composite inesthétique sur 21.
Une alternative avec un bridge cantilever (vu le jeune âge de la patiente) a été proposée mais rejetée par
la patiente qui a préféré une réhabilitation implantaire. De même, une facette a été proposée à la patiente sur 21 mais elle a préféré pour des raisons financières notamment retarder cette solution et voir si un traitement avec une obturation composite pouvait lui convenir dans un premier temps. La tache devient alors plus compliquée parce qu’il s’agit d’une réhabilitation unitaire. Nous nous retrouvons donc face au défi ultime de l’incisive centrale unitaire à remplacer.
En effet, la réalisation d’une facette sur 21 nous aurait alors rendu plus serein quant au succès esthétique de cette réhabilitation.

Le traitement endodontique sur 21 est réalisé avant de
faire la planification implantaire pour ne pas
compromettre la pose de l’implant avec un foyer
infectieux adjacent à l’intervention.
- PLANIFICATION IMPLANTAIRE

Le CBCT réalisé (fichiers dicom) est inséré dans le logiciel RealGuide pour permettre de l’associer avec
l’empreinte numérique de la patiente (Photo 8). Ces éléments nous permettent donc de simuler :
• L’avulsion de la dent 11
• L’évaluation des parois osseuses résiduelles
• La position implantaire idéale, en respectant l’axe prothétique et les contraintes anatomiques.
Un guide chirurgical a été réalisé pour guider la pose de l’implant selon la planification (Photo 9).
- PROTOCOLE CHIRURGICAL
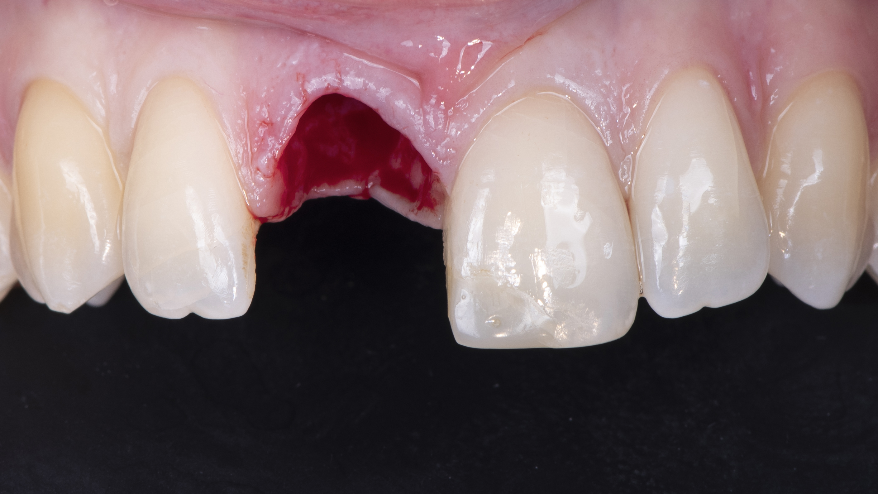
Extraction de la dent la plus atraumatique possible (Photo 10).
Mise en place du guide chirurgical imprimé au cabinet. Réalisation des forages et mise en place de l’implant au travers du guide chirurgical (Photo 11).
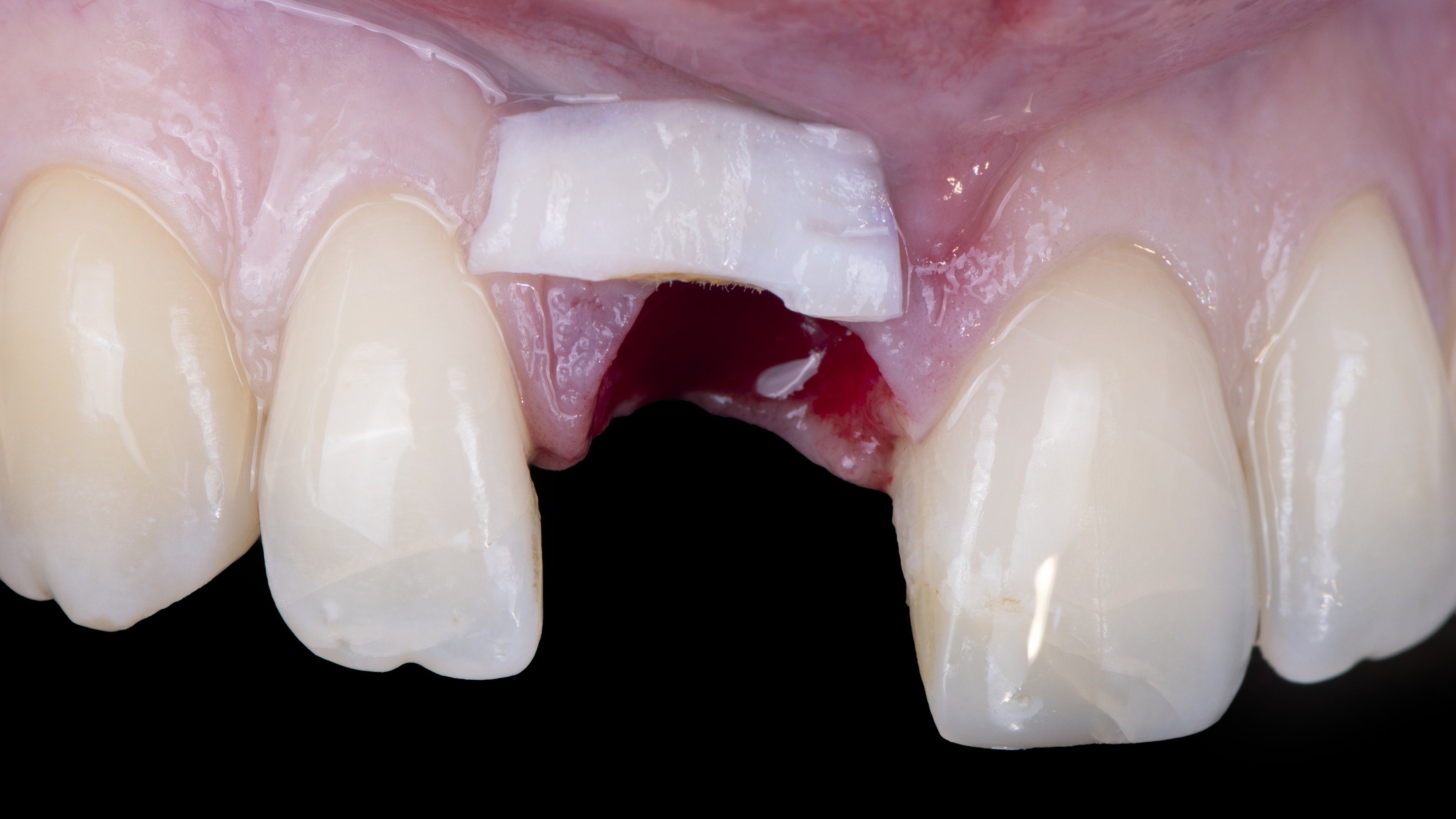
Une copie de la couronne de la patiente est imprimée et évidée pour permettre de la positionner correctement. Elle est ensuite solidarisée à un pilier provisoire vissé dans l’implant. Ceci nous permet ensuite d’ajuster le profil d’émergence (Photo 12).
Un apport de tissu conjonctif est réalisé pour permettre d’optimiser et de maintenir les tissus gingivaux (Photo 13).
Un comblement du gap entre l’implant et la table osseuse vestibulaire à l’aide de particules de Bio oss
(Geistlich) est également réalisé (Photo 14).
La couronne provisoire est ensuite repositionnée et les contacts en occlusions statique et dynamique sont supprimés pour éviter d’appliquer des forces sur l’implant pendant toute la période d’ostéointégration (Photo 15).

Un CBCT de contrôle est réalisé en fin d’intervention pour permettre de visualiser que la position implantaire correspond exactement à la planification réalisée (Photo 16).
Un contrôle est réalisé 15 jours après la pose de l’implant et tout se passe correctement. Il est à signaler que la patiente n’a eu aucune douleur post opératoire (Photo 17).

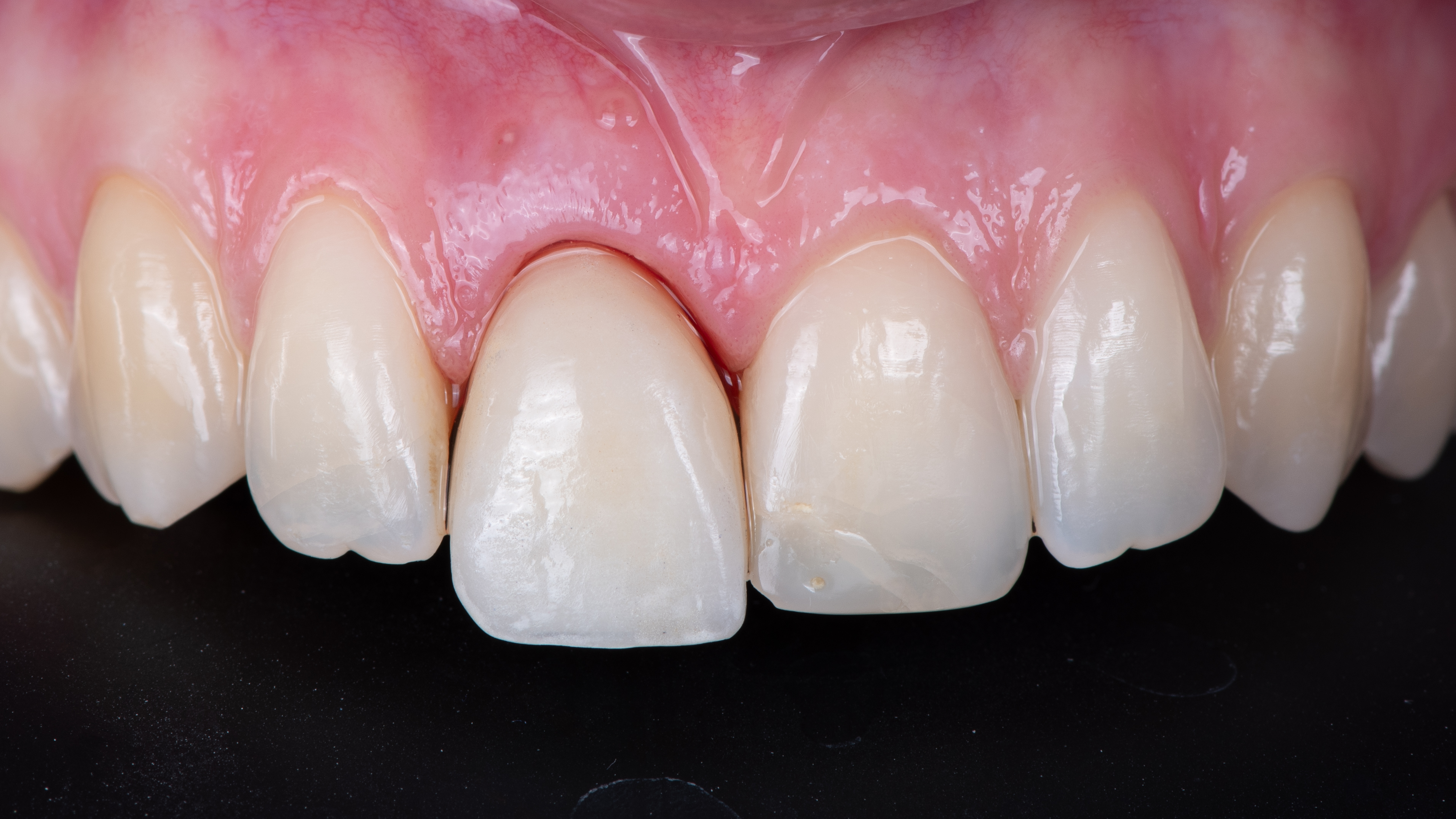
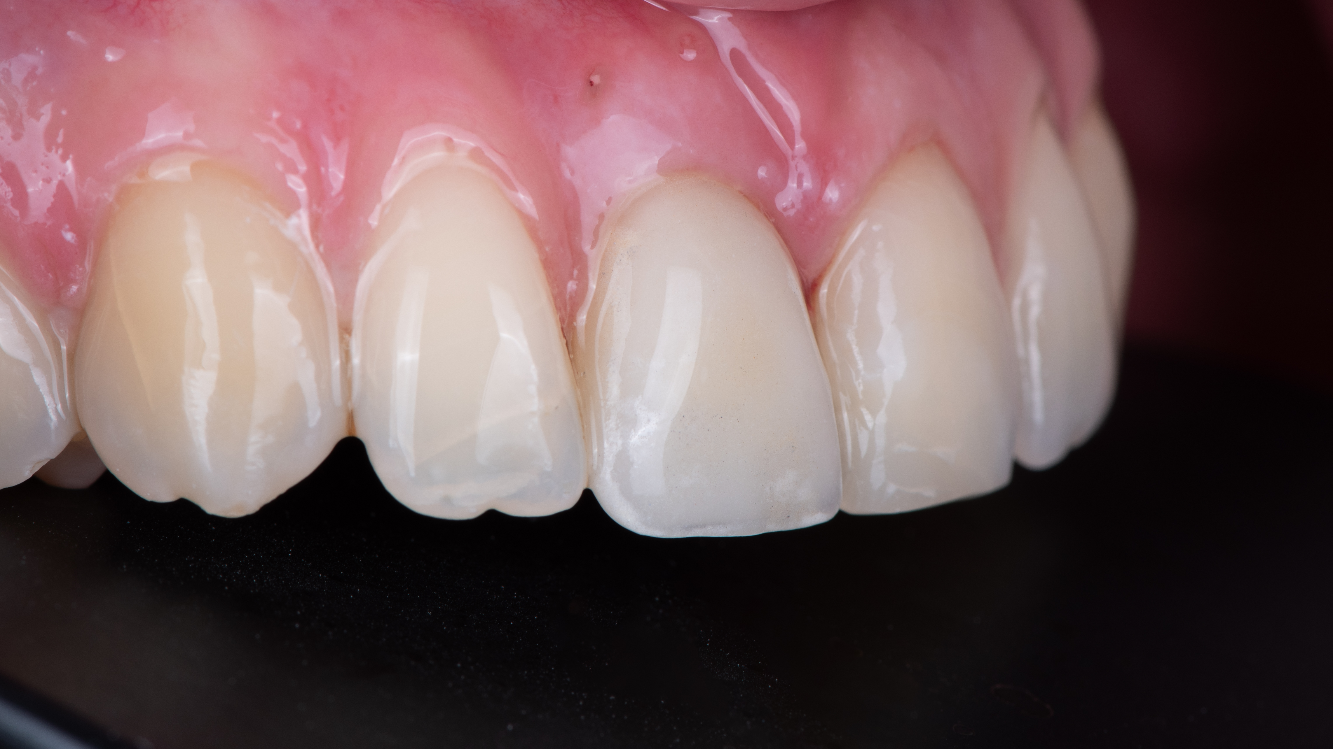
Après une période de cicatrisation de 3 mois, la patiente est revue pour réaliser la prothèse d’usage (Photo 18). Nous réalisons plusieurs empreintes numériques :
• Maxillaire avec la prothèse transitoire
• Maxillaire sans la prothèse
• Maxillaire avec un Scanbody
• Mandibulaire
• Occlusion
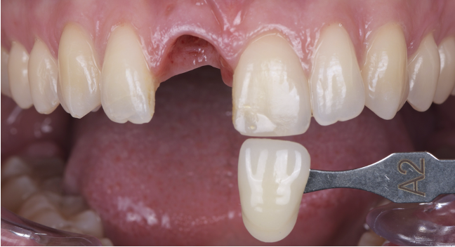
Ces empreintes sont alors transmises au laboratoire (Laboratoire Dominique Watzki). La teinte est relevée grâce à un teintier Vita classique et grâce également à l’Optishade et transmise au laboratoire.
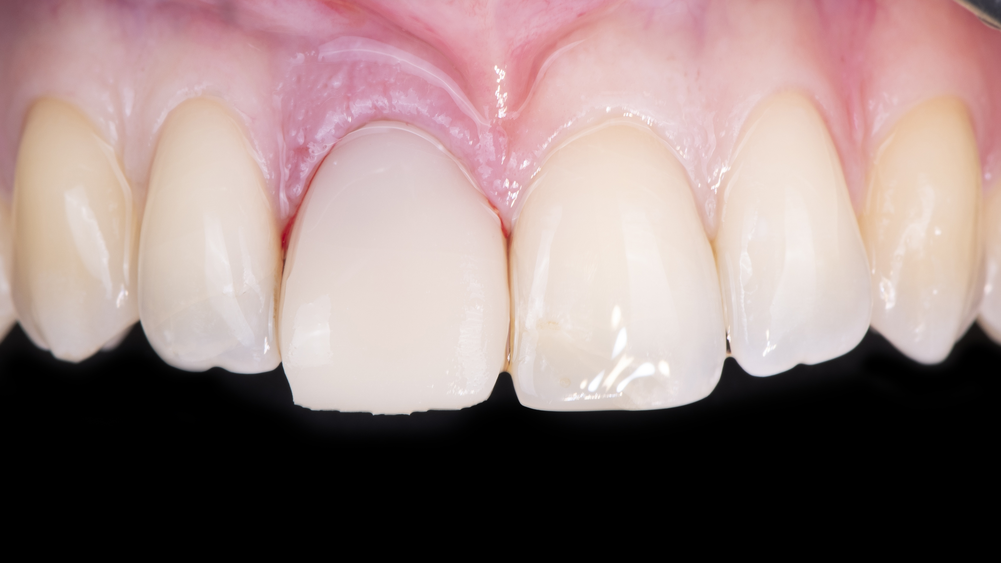
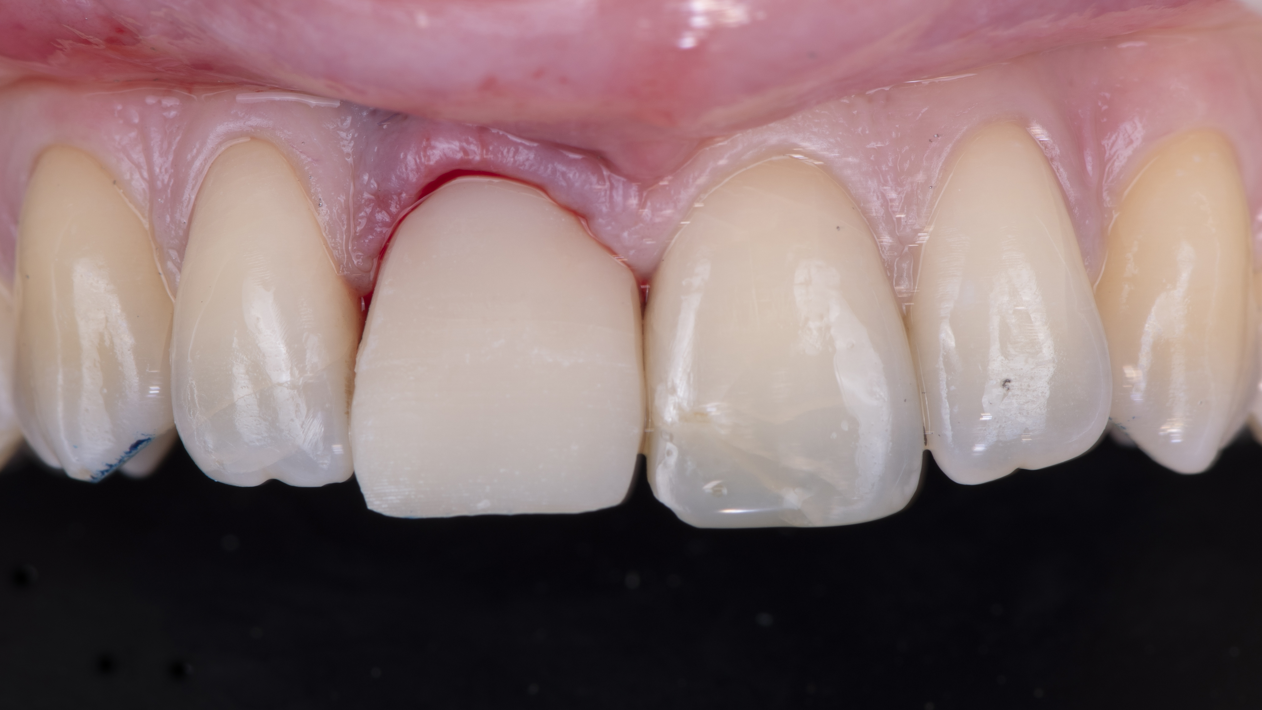
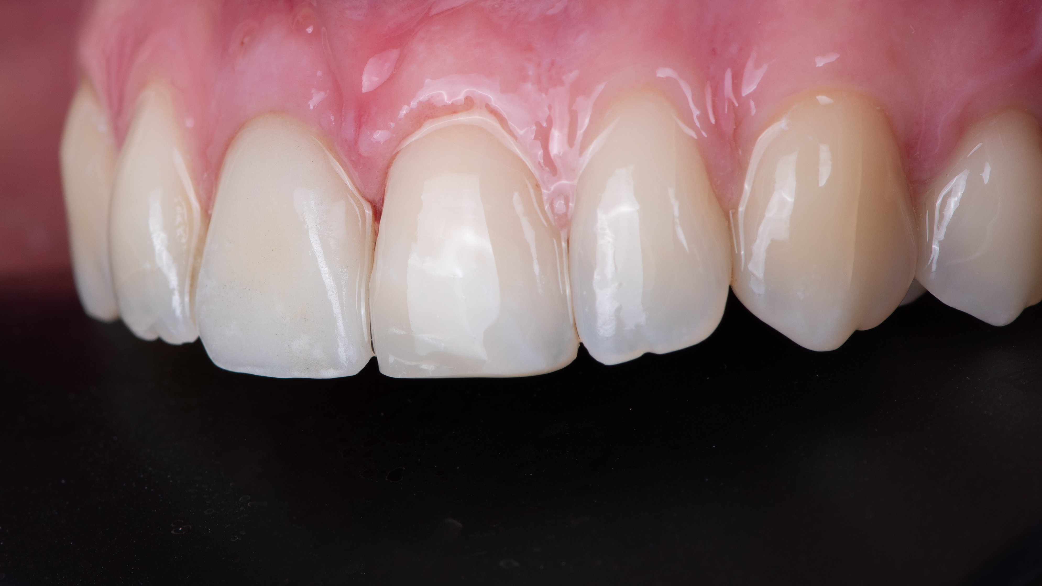
La patiente revient pour la pose de la prothèse d’usage. Nous réalisons donc un essayage de cette prothèse d’usage avant de réaliser le composite sur la dent 21.
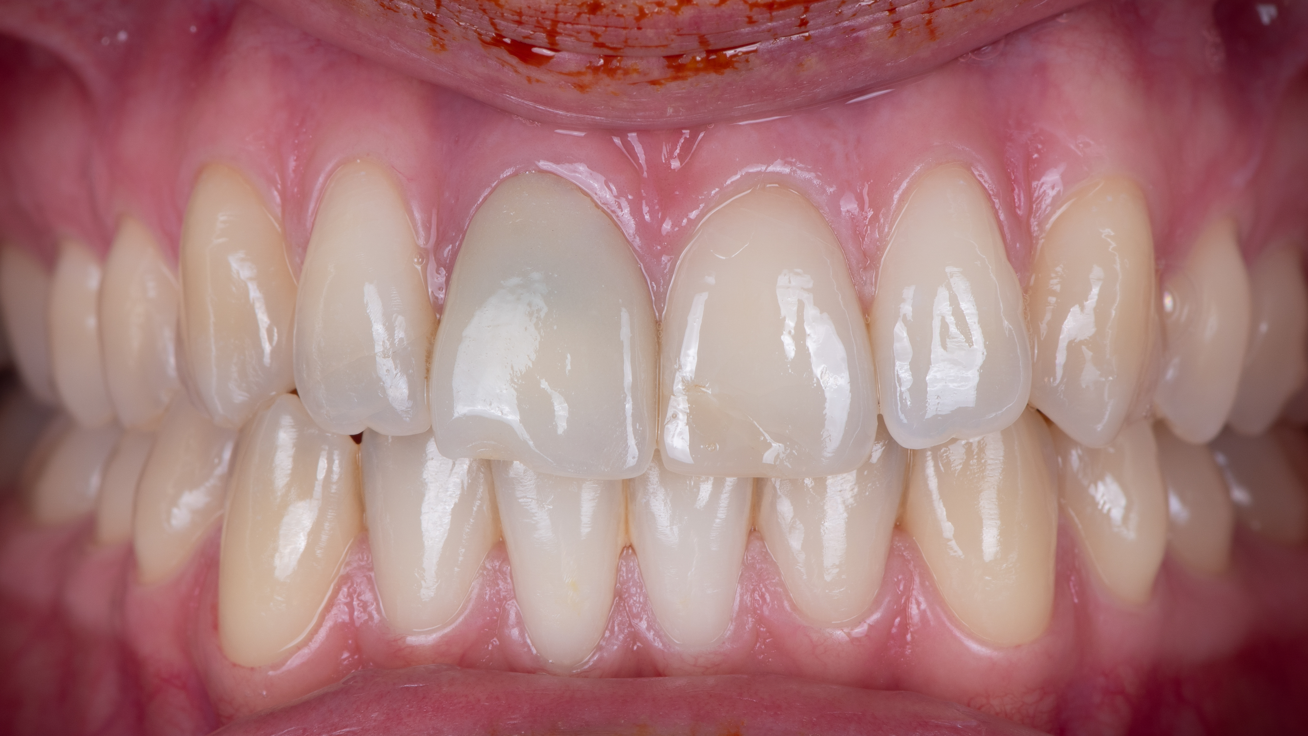
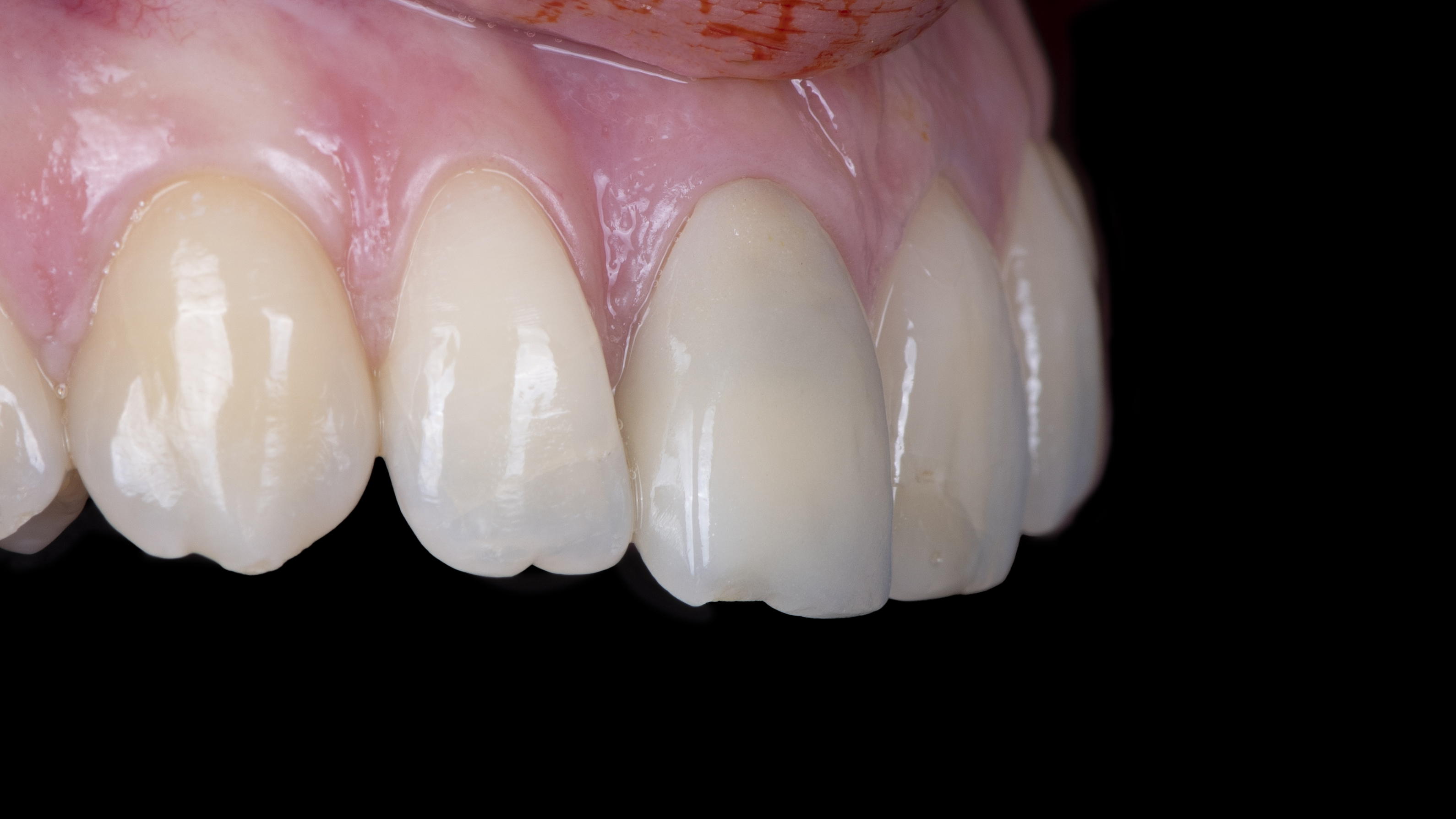
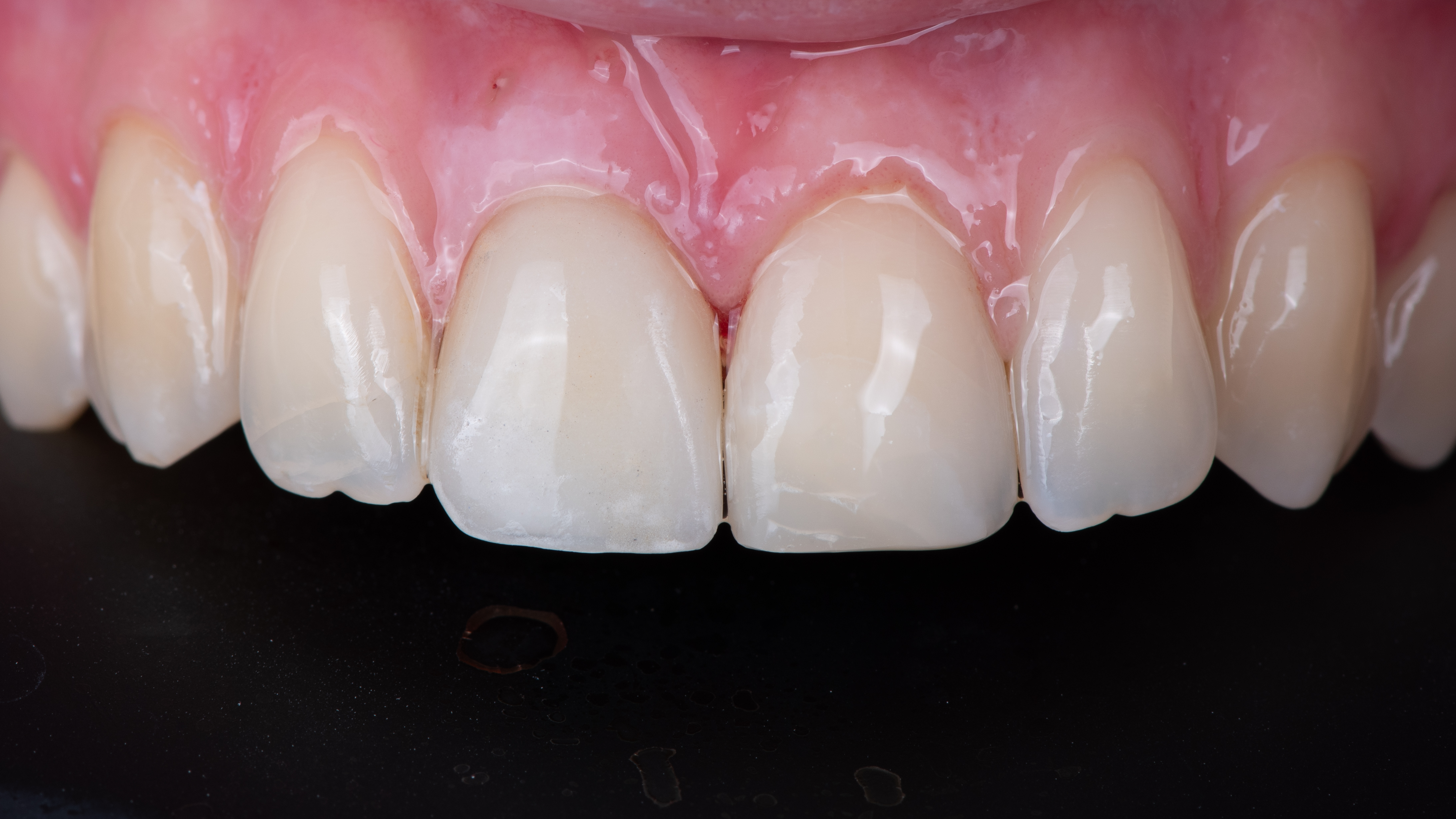
Nous constatons que la cicatrisation est alors optimale et que la prothèse d’usage s’intègre parfaitement à son environnement (Photo 20).
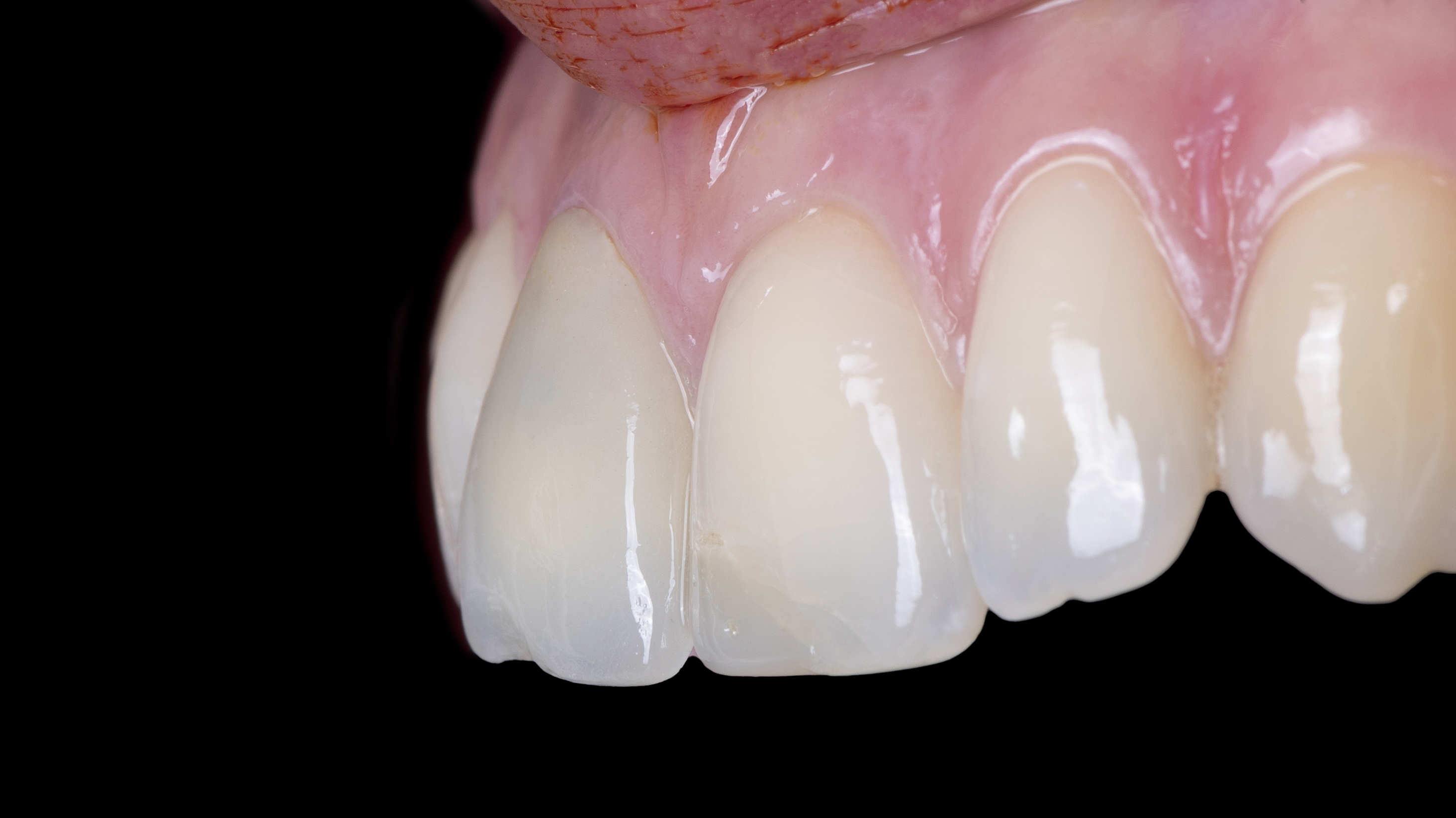
Intégration des réhabilitations au niveau du sourire de la patiente (Photo 26).
CONCLUSION
Le secteur antérieur présente un défi de taille tant il va jouer sur la santé morale et la confiance en soi de nos patients.
Lorsque la réhabilitation ne concerne qu’une seule dent et notamment une centrale, nous savons que le challenge est encore plus important et nécessitera un respect strict de toutes les étapes des protocoles prothétiques, esthétiques et chirurgicaux.
Il existe également des alternatives thérapeutiques fiables aujourd’hui comme le bridge cantilever antérieur. Cependant lorsqu’il s’agit de conserver le niveau osseux et gingival, les protocoles de préservation alvéolaire ne présentent pas les mêmes taux de succès que les réhabilitations d’extraction implantation immédiate et peuvent compromettre à long terme le résultat esthétique.
Il est souvent plus simple de conserver une architecture osseuse et gingivale adéquate grâce aux techniques de réhabilitation immédiate que de retirer une dent et de perdre ainsi un volume conséquent à reconstruire.
BIBLIOGRAPHIE
- Dioguardi, M.; Spirito, F.; Quarta, C.; Sovereto, D.; Basile, E.; Ballini, A.; Caloro, G.A.; Troiano, G.; Lo Muzio, L.; Mastrangelo, F. Guided Dental Implant Surgery: Systematic Review. J. Clin. Med. 2023, 12, 1490. https://doi.org/10.3390/jcm12041490
- Mithran A, Parmar VB, Sheth M, Mansi, Banerjee S, Raju M. Comparative analysis of long‑term success rates and patient satisfaction among different implant placement techniques for implant‑supported restorations: A prospective clinical trial. J Pharm Bioall Sci 2024;16:S3212-4
- Gomez-Meda R, Esquivel J, Blatz MB. The esthetic biological contour concept for implant restoration emergence profile design. J Esthet Restor Dent. 2021;1–12. https://doi.org/10.1111/jerd.12714
- Seyssens L, De Lat L, Cosyn J. Immediate implant placement with or without connective tissue graft: A systematic review and meta-analysis. J Clin Periodontol. 2021 Feb;48(2):284-301. doi: 10.1111/jcpe.13397. Epub 2020 Nov 20. PMID: 33125754.
- Putra RH, Yoda N, Astuti ER, Sasaki K. The accuracy of implant placement with computer-guided surgery in partially edentulous patients and possible influencing factors: A systematic review and meta-analysis. J Prosthodont Res. 2022 Jan 11;66(1):29-39. doi: 10.2186/jpr.JPR_D_20_00184. Epub 2021 Jan 26. PMID: 33504723.
- Mello CC, Lemos CAA, Verri FR, Dos Santos DM, Goiato MC, Pellizzer EP. Immediate implant placement into fresh extraction sockets versus delayed implants into healed sockets: A systematic review and meta-analysis. Int J Oral Maxillofac Surg. 2017 Sep;46(9):1162-1177. doi: 10.1016/j.ijom.2017.03.016. Epub 2017 May 3. PMID: 28478869.
- Rehberger Bescós, F., Salgado Peralvo, ÁO., Chamorro Petronacci, C.M. et al. Marginal bone loss and associated factors in immediate dental implants: a retrospective clinical study. Int J Implant Dent 11, 25 (2025). https://doi.org/10.1186/s40729-025-00602-0






































