Aujourd’hui, les webinaires, les tutos, les plateformes en ligne font partie intégrante de notre quotidien professionnel. Pourtant, rien ne remplace la main, l’oeil, et le geste répété.
C’est cette conviction, née de notre pratique quotidienne et de notre passion commune pour la transmission, qui a donné naissance à Esthet Practical, une formation résolument ancrée dans la pratique, où chaque geste est contrôlé, corrigé, amélioré. Nos sessions en présentiel permettent aux praticiens de tous niveaux de retrouver la
précision, la confiance et l’exigence du geste clinique, dans un cadre bienveillant et rigoureux.
Pourquoi du présentiel ?
La beauté d’un sourire ne se résume pas à une formule ou à un protocole et en dentisterie esthétique, les compétences se vivent. Le présentiel permet :
• une transmission directe et vivante des gestes techniques
• une interaction immédiate entre participants et formateurs
• une correction en temps réel, individualisée
• une expérience immersive, stimulante et collective
Les travaux pratiques : coeur battant de notre pédagogie
Chez Esthet Practical, nous avons fait un choix : celui de mettre la main avant la théorie. Chaque module repose sur des TP intensifs, sur modèles et simulateurs, pour faire, refaire… et surtout comprendre par le geste. Préparations amélaires, stratifications, masques en résine, smile design, morphologies antérieures et postérieures, finitions… : tout y passe, dans une dynamique orientée vers l’excellence clinique.
Une formation pensée par et pour les praticiens
Notre formation est née d’un constat : trop de praticiens se retrouvent seuls face à des situations esthétiques complexes, sans outils réellement opérationnels. Notre mission est simple : combler ce fossé entre théorie et pratique, pour que chaque participant reparte avec des solutions concrètes à appliquer dès le lendemain au cabinet.
C’est dans cet esprit que nous avons proposé à 4 de nos anciens étudiants de mettre en pratique et en images quelques-unes des connaissances qu’ils ont pu acquérir lors de leurs sessions respectives.
• Le Dr Bilal Balbzioui insiste sur les multiples intérêts de la photographie dentaire.
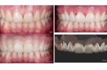
• Le Dr Bruno Abehassera décrit la réalisation d’un bridge cantilever et d’une facette pour gérer l’agénésie d’une incisive latérale et la transformation de sa controlatérale riziforme.
• Le Dr Jonathan Giuccardi ose le remplacement d’une incisive centrale unitaire implanto-portée
• Le Dr Hayat Tabiti, au travers d’une réhabilitation esthétique globale, nous expose l’apport de l’analyse et du projet esthétique, du choix des matériaux et des protocoles de collage.
Esthet Practical, c’est plus qu’une formation. C’est un retour à l’essence de notre métier : celui du geste maîtrisé, du détail assumé, de l’esthétique vécue au fauteuil. Dans un monde où tout s’accélère, nous réaffirmons la valeur du temps pris pour bien faire, ensemble, en présentiel.
Parce qu’on n’apprend pas à sculpter une dent ou à sublimer un sourire à travers un écran, nous mêlons la technique et l’émotion.


